Chụp X quang là gì, chụp x quang nhiều có nguy hiểm không?

Chủ nhật - 05/02/2017 14:34
Chụp X quang là kỹ thuật chẩn đoán hình ảnh nhanh chóng, dễ dàng và có chi phí tương đối thấp. Nó cần thiết để chẩn đoán hoặc để giải quyết các vấn đề khác nhau. Tuy nhiên, một X quang thông thường vẫn có mặt hạn chế. X quang cản quang, CT scan hoặc các kỹ thuật hình ảnh khác có thể bổ sung để đánh giá chính xác hơn nữa các bộ phận cơ thể nhất định, nhất là mô mềm và các tạng như não và gan.
Phụ nữ có thai không nên chụp X quang khi không thật cần thiết vì có một nguy cơ nhỏ là tia X sẽ gây ra bất thường cho thai nhi
Phụ nữ có thai không nên chụp X quang khi không thật cần thiết vì có một nguy cơ nhỏ là tia X sẽ gây ra bất thường cho thai nhi
Chụp X quang là kỹ thuật chẩn đoán hình ảnh rất phổ biến để khảo sát xương và một số mô khác.
X quang là gì?
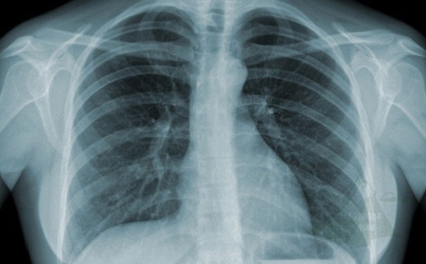
X quang là một loại bức xạ năng lượng cao. Một máy chụp X quang phát ra các chùm tia X. Các tia X xuyên qua các mô mềm và thành phần dịch (chất lỏng) trong cơ thể một cách dễ dàng . Tuy nhiên, các mô đặc như xương sẽ cản một số tia X lại. Đậm độ hay độ đậm đặc (density) có nghĩa là số vật chất có trong một khoảng không gian nhất định. Mô càng đặc (tức đậm độ cao) thì càng cho ít tia X xuyên qua. Không khí và nước ít đặc (tức đậm độ thấp) vì các phần tử cấu thành không liên kết chặt chẽ với nhau.
chụp x quang là gì
Chụp X quang như thế nào?
Phim X quang, cũng tương tự như phim chụp hình, được đặt phía sau bộ phận cơ thể cần chụp. Máy X quang sẽ chiếu tia X qua bộ phận cơ thể này. Các tia X nào gặp phim sẽ tạo hình. Càng nhiều tia X đến phim thì hình ghi được càng đen hơn. Vì vậy, các bộ phận đặc của cơ thể cản rất nhiều tia X sẽ cho hình trắng (ví dụ như xương) trong khi những bộ phận cơ thể rỗng hoặc đầy khí sẽ cho hình đen (ví dụ như phổi). Các mô mềm (ví dụ như cơ hoặc các tạng đặc trong cơ thể) sẽ cho hình ảnh có mức độ xám khác nhau tuỳ theo đậm độ của chúng.
Phim X quang được đọc bởi bác sĩ X quang (Bác sĩ chẩn đoán hình ảnh) và bác sĩ này sẽ gửi kết quả đến bác sĩ đã cho chỉ định chụp X quang.
Chụp X quang không gây đau. Bạn không thể nhìn thấy hoặc cảm thấy tia X. Bạn phải đứng yên khi tia X được phát ra, vì nếu không hình chụp sẽ bị mờ.
Hình X quang thông thường sẽ cho thấy gì?
chụp x quang là gì 3
Xương, răng, gãy xương và các bất thường khác của xương.
Khe khớp và một số bất thường của ổ khớp, ví dụ như thoái hoá khớp.
Kích thước và hình dạng của tim. Vì vậy, có thể phát hiện được một số bệnh tim.
Thay đổi đậm độ mô mềm.
Ví dụ, một khối u phổi đặc hơn nhu mô phổi, sẽ cho thấy hình ảnh bóng mờ trên X quang. Một khối u vú đặc hơn mô vú bình thường sẽ cho thấy hình ảnh bóng mờ trên X quang vú (nhũ ảnh ).
chụp x quang là gì 1
Tụ dịch, trong phổi hoặc ruột chẳng hạn, có thể sẽ cho hình ảnh bóng mờ với độ xám khác với màu đen chứa đầy khí của nhu mô phổi bình thường hoặc ruột trống.
Chụp X quang là kỹ thuật chẩn đoán hình ảnh nhanh chóng, dễ dàng và có chi phí tương đối thấp. Nó cần thiết để chẩn đoán hoặc để giải quyết các vấn đề khác nhau. Tuy nhiên, một X quang thông thường vẫn có mặt hạn chế. X quang cản quang, CT scan hoặc các kỹ thuật hình ảnh khác có thể bổ sung để đánh giá chính xác hơn nữa các bộ phận cơ thể nhất định, nhất là mô mềm và các tạng như não và gan.
Những nguy cơ từ chụp X quang
Có rất ít nguy cơ sau 1 lần chụp X quang. Tuy nhiên nếu chụp đi chụp lại sẽ có nguy cơ vì tia X sẽ gây tổn thương một số tế bào trong cơ thể và có thể dẫn đến ung thư về sau. Liều bức xạ tia X luôn được giữ ở mức tối thiểu cần để có hình ảnh đẹp của cơ quan cần được chụp kiểm tra. Người chụp X quang ( thường là kỹ thuật viên ) cũng luôn mặc áo chì hoặc ra sau tấm kính bảo vệ khi chụp để tránh phơi nhiễm tia X lặp đi lặp lại).
Phụ nữ có thai không nên chụp X quang khi không thật cần thiết vì có một nguy cơ nhỏ là tia X sẽ gây ra bất thường cho thai nhi. Đây là lý do tại sao phụ nữ trước khi chụp X quang PHẢI ĐƯỢC HỎI rằng có mang thai hay không hoặc có nghi ngờ có thai hay không.

Tác giả bài viết: Sưu Tầm Tổng Hợp

Nguồn phát: Nhật Trường Kon Tum

Tổng số điểm của bài viết là: 0 trong 0 đánh giá

Click để đánh giá bài viết
Tuyên bố trách nhiệm: Thông tin trên samtuoingoclinh.com chỉ phục vụ nghiên cứu học tập và mở rộng kiến thức. Không sử dụng làm căn cứ để tiến hành chẩn trị trên lâm sàng. Thông tin trên samtuoingoclinh.com có thể được trích dẫn, thu thập từ các ấn phẩm, các trang tin điện tử liên quan trong nước và ngoài nước. Nếu phát sinh vấn đề bản quyền, kính đề nghị phản hồi cho chúng tôi.

  Ý kiến bạn đọc

Mã bảo mật   
  • Chú ý 10 thói quen phong thủy để lọt tài...

    Chú ý 10 thói quen phong thủy để lọt tài...

    Bạn có mắc phải những thói quen xấu phong thủy về của cải không? Người xưa cho rằng: “Đi được ngàn dặm là nhờ tích lũy từng bước nhỏ; không có những...

  • Chính xác Đường Tăng đã phải đi bao xa...

    Chính xác Đường Tăng đã phải đi bao xa...

    Đường Tăng là một nhân vật rất gần gũi với tuổi thơ của chúng ta. Ai cũng biết ông phải sang tận Tây Trúc xa xôi để thỉnh kinh, nhưng chính xác quãng...

  • Tìm hiểu Israel và dân tộc Do Thái

    Tìm hiểu Israel và dân tộc Do Thái

    Với tổng số khoảng 14,5 triệu người sống rải rác tại 73 nước trên khắp thế giới (trong đó riêng tại Israel là 6 triệu, ở Mỹ 5,6 triệu), người Do Thái...

Bạn đã không sử dụng Site, Bấm vào đây để duy trì trạng thái đăng nhập. Thời gian chờ: 60 giây